Une première a eu lieu aux U.S.A : un plug anal a joué l’intrus dans une IRM. Et cette histoire vibrante n’arrête pas depuis de faire le tour du monde. C’est ainsi qu’elle a pénétré l’esprit à la fois scientifique et pédagogique de notre rédaction. Une jeune patiente américaine a oublié de retirer un sextoy avant une IRM le 17 avril 2023. L’histoire aurait pu être tragique, mais s’est bien finie, façon miracle gaude mihi.
Imaginez la scène : Madison une jeune Américaine de 22 ans se rend à son rendez-vous pour une IRM en oubliant qu’elle porte un compagnon intime en silicone avec un cœur métallique. L’examen débute normalement, les puissants aimants de la machine entrent en action, et soudain… BOOM ! Enfin, techniquement pas un « boom », mais un « swiiiiiiish » ultra-sonique à travers son corps. Le sextoy, tel un super-héros malicieux, décide de faire une escapade à grande vitesse à travers son corps en manquant de la transformer en passagère.
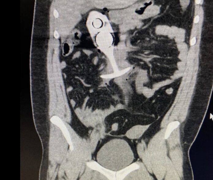
Le plug anal ne manque pas de corps et voulait voir du pays
Le noyau métallique de son sextoy a violemment réagi au champ magnétique ultra-puissant de l’IRM et a entamé une ascension express depuis son point d’insertion initial anal jusqu’à sa cage thoracique. Un véritable tremplin anatomique, digne d’une compétition de sports extrêmes, voire d’un grand huit médical.
Madison, prise de douleurs fulgurantes, a immédiatement hurlé. Le personnel médical, pensant à une réaction allergique ou une panique passagère, a vite compris qu’il se passait quelque chose d’inattendu lorsqu’elle s’est mise à suffoquer et à se tordre sur la table.
Leçon du jour : Sextoys et IRM ne font pas bon ménage
Petit rappel scientifique : une IRM (Imagerie par Résonance Magnétique) utilise un champ magnétique hyper-puissant pour produire des images précises du corps humain. Cela signifie que tout objet métallique se trouvant à proximité peut être attiré avec une force phénoménale.
D’après le professeur Adam Taylor, expert en anatomie humaine à l’Université de Lancaster, « la vitesse à laquelle les matériaux ferromagnétiques se déplacent dans un champ IRM dépend de leur masse et de leur distance du centre magnétique ». Pour vous donner une idée, un simple trombone peut atteindre 60 km/h s’il entre dans un champ magnétique puissant.
Dans le cas de Madison, le plug anal aurait atteint une vitesse instantaée proche de celle du son (1235 km/h !) à l’intérieur de son corps !
Un cas médical très rare…
Après avoir été extirpée en urgence de la machine, Madison a été transportée en soins intensifs. Le plug express avait causé des lésions internes importantes mais, par un rare miracle, aucun organe vital n’a été perforé.
Les chirurgiens ont cependant dû intervenir pour extraire l’objet et soigner les traumatismes internes. D’après les premières analyses médicales, si la vitesse avait été un peu plus élevée, Madison aurait pu subir des blessures mortelles. Une IRM peut en effet transformer un simple objet métallique en projectile létal.
Le professeur Taylor ajoute d’ailleurs que « placer des jouets sexuels ou d’autres objets dans le corps pendant une procédure d’imagerie peut provoquer des artefacts sur l’image, ce qui peut empêcher un diagnostic précis ». Autrement dit, même si votre plug ne décide pas de partir en orbite, il risque de fausser les résultats médicaux.
Bref, la jeune femme s’en est sortie indemne avec une histoire vibrante à raconter lors de ses dîners ou parties fines. Mais son histoire est déjà rentrée dans les Annales !
